这样的医患关系,最温情也最动人 ——医生两退“红包”,见证医患真情
发布:未知 更新时间:2022年01月24日 浏览人数:[0]
“很感谢周医生,请收下我这略微的寥寥心意吧!”
“心领啦,谢谢!”
“请收下吧,万分感谢无以言表。”
“这是我的职责,就像你是患者,你相信我,把命交给我,我就得对你的生命负责,我们只是都做了自己该做的事情而已……”,周永说,治病救人是医生的天职,红包他心领了。
1月17日,一位患者家属为感谢周永医生及时救治了他父亲,两次给周医生发送红包并恳请他收下。周医生以心换心,让大家见证了最温情也最动人的医患关系。

刘先生今年46岁,家住新邵县酿溪镇。1月17日早上六点半左右,刘先生费力后出现胸痛,以心前区为重,呈持续性压榨性疼痛,放射致左上肢,同时伴有大汗淋漓、面色苍白。休息后症状稍缓解,但仍有胸痛。刘先生当时并未引起重视,想着休息一会就没事了。直到下午四点,才在家人的劝说下到我院就诊。
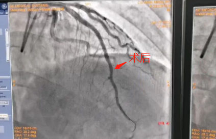
急诊科接诊医生介绍说,刘先生入院时血压197/128mmHg,肌钙蛋白明显升高,心电图提示:急性前壁心肌梗塞,需要立即手术治疗。病情危急,刻不容缓!医院立即启动急救绿色通道,将刘先生送介入中心导管室。完善术前准备,与家属沟通、签字后,急诊PCI手术开始了。造影显示,前降支中远段端严重狭窄。令人欣慰的是,手术进行得很顺利。半个小时后,刘先生就被推出了手术室。术后刘先生被安全送至心内科住院病房,胸痛症状明显缓解。



说起此次死里逃生的事,刘先生感慨万分。“说实话,当时医生和我说要马上做手术的时候,我心理还是不太相信的。”刘先生说,他自认为自己身体很好,平时也坚持锻炼,感冒都很少要吃药的。他不相信,自己怎么就一下子发生心梗了?不就是抱孩子用了点力嘛?怎么就到了需要抢救做手术的地步?这电视剧里的桥段就这样发生在自己身上了?值得庆幸的是,他来到了人民医院。急诊科的医生看到结果后立即联系了心内科,并一路护送他到介入中心,周永医生给他们讲解病情和手术方案的时候也非常详尽、耐心。“医生说了,我爸要是再晚一点点,恐怕就要和死神说哈喽啦!”刘先生的儿子心有余悸地说。
刘先生告诉笔者,他这是第一次住院,以往总觉得医生都是很冷漠的,他们见惯了生死,眼里只有疾病、检查和药品,社会上也呈现了一些不和谐的医患关系的案例。所以,医生在他心中的形象并不高大。但是,这一次的住院经历,和周医生这几天的相处,让他对医生和医患关系有了不一样的认识。“手术之后,与周主任的相处很轻松,他与我想象中的医护人员不一样,他对病人和蔼、友好,真的就像对自己的亲人朋友一样,对我们很耐心,做事也很细心。”说起周医生,刘先生赞不绝口。
为了感谢周医生,刘先生嘱咐儿子一定要给周医生送个红包以表谢意。“这次我能死里逃生,多亏了周医生,我们没有别的意思,就是想感谢他。”刘先生感激地说,“大儿子帮我发了两次红包,都被退回来了,周主任这种不求任何回报的高尚品德,让我和我的家人都很感动。”

刘先生告诉笔者,这次生病,让他体验了“锥心之痛”,经历了九死一生与死神的较量,也让他结交了一位真挚的朋友,看到了医生对职业的敬重,对生命的尊重。
其实,在我们的身边,像周永医生这样的医务人员还有很多很多。他们崇尚廉洁行医、严格自律,全心全意救治每一位患者。他们最大的“贪心”,就是想要看到患者和家属一张张满意的笑脸,每次看到患者从脆弱无助到迈着稳健有力的步伐走出病区的大门,就是他们最大的幸福。

我想,世界上大概没有任何一种关系,如同病人对医生这样,希望在最短的时间内,与一个素不相识的陌生人建立起信任和密切的关系,原因无他,一切攸关生命。生命所系,性命相托。“你若性命相托,我必全力以赴”,这是每一个医者开始他们神圣职责前的庄严宣誓,也是最温情、最动人的医患关系写照。



